NHL

B Cell Nhl


Hepatitis B Virus Linked To Non Hodgkin Lymphoma
www.medpagetoday.com

Anti Cd20 Antibody Therapy For B Cell Lymphomas Nejm
www.nejm.org

Non Hodgkin Lymphoma Wikipedia
en.wikipedia.org

Promising Therapies For B Cell Non Hodgkin S Lymphoma Nhl
www.marketresearchreports.com

Lymphoma Action Non Hodgkin Lymphoma
lymphoma-action.org.uk

What Is B Cell Lymphoma
www.webmd.com

Primary Extranodal B Cell Lymphoma Current Concepts And Treatment
cco.amegroups.com

Genetic Background And Evolution Of Relapses In Aggressive B Cell
www.haematologica.org

A Literature Revision In Primary Cutaneous B Cell Lymphoma Selva
www.e-ijd.org

Diffuse Large B Cell Lymphoma Stages Rituxan Hycela
www.rituxanhycela.com

Histopathology Images Of Diffuse Large B Cell Lymphoma Nos By
www.pathpedia.com

Know The Basics Mantle Cell Lymphoma
www.curetoday.com

Growth Of 4 9 Forecast For Global B Cell Nhl Market To 2027
www.thepharmaletter.com

Non Hodgkin S Lymphoma A Pharmacotherapeutic Perspective Know
knowyourdrug.wordpress.com

Promising Personalized Therapeutic Options For Diffuse Large B
clincancerres.aacrjournals.org

Diffuse Large B Cell Lymphoma An Overview Sciencedirect Topics
www.sciencedirect.com

Plos One Malignant B Cells Induce The Conversion Of Cd4 Cd25 T
journals.plos.org

Non Hodgkin Lymphoma Of The Liver A Us Population Based Analysis
www.xiahepublishing.com

Diffuse Large B Cell Lymphoma Review Singh R Dubey A P Rathore A
www.jmedscindmc.com

Absolute Numbers Of Monocytes Are Increased In B Cell Nhl A And
www.researchgate.net

A Literature Revision In Primary Cutaneous B Cell Lymphoma Selva
www.e-ijd.org

Risks Diagnosis And Treatment Of Non Hodgkin Lymphoma
www.pharmacytimes.com

Histopathology Images Of Diffuse Large B Cell Lymphoma Nos By
www.pathpedia.com

Diffuse Large B Cell Lymphoma Non Hodgkin Lymphoma Cancer
www.cancerresearchuk.org

Fabaocjifob4zm

Small B Cell Lymphoma He Staining 400 Figure 4 Nasal Cavity
www.researchgate.net

Https Encrypted Tbn0 Gstatic Com Images Q Tbn 3aand9gcsj8ethqx0s1x4hhaeo714onu0oyz8nvnnk41qqxp5kspn1ryyd Usqp Cau
encrypted-tbn0.gstatic.com

Selinexor In Patients With Relapsed Or Refractory Diffuse Large B
www.thelancet.com

Incidence Of Laz3 Rearrangemant Among 163 Cases Of B Cell Nhl
www.researchgate.net

View Of Emerging Therapies For The Treatment Of Relapsed Or
www.current-oncology.com

Expert Second Opinion Pathology Review Of Lymphoma In The Era Of
www.annalsofoncology.org

Https Encrypted Tbn0 Gstatic Com Images Q Tbn 3aand9gcqm Zwye8m91fozltnmiiatpgqp57ill1upsi8kjsvibmubadfx Usqp Cau
encrypted-tbn0.gstatic.com

Lymphoma B Cells Evade Apoptosis Through The Tnf Family Members
www.jimmunol.org

Selinexor For Treatment Of Diffuse Large B Cell Lymphoma
news.cancerconnect.com

Er Chop Promising For Diffuse Large B Cell Nhl
news.cancerconnect.com

Non Hodgkin Lymphoma Ask Hematologist Understand Hematology
askhematologist.com

Addition Of Rituximab To Chemotherapy For Pediatric High Risk
www.hematologyadvisor.com

Novel Drug Targets For Personalized Precision Medicine In Relapsed
molecular-cancer.biomedcentral.com

Integrating Understanding Of Epidemiology And Genomics In B Cell
www.discoverymedicine.com

Diffuse Large B Cell Lymphoma Youtube
www.youtube.com

Centrosome Aberrations In Different Subtypes Of B Cell Nhl
www.researchgate.net

Hematology Self Assessment Series Non Hodgkin Lymphoma B Cell
www.amazon.com

Https Encrypted Tbn0 Gstatic Com Images Q Tbn 3aand9gctq2mcestnqbwgvlapyvgtayikk1a5nqzuejxm5rcipkins3y4e Usqp Cau
encrypted-tbn0.gstatic.com

Diffuse Large B Cell Lymphoma Review Singh R Dubey A P Rathore A
www.jmedscindmc.com

Aggressive B Cell Lymphomas From Morphology To Molecular
aol.amegroups.com

Learn More About The Pilot Study A Phase 2 Clinical Research
www.centerwatch.com

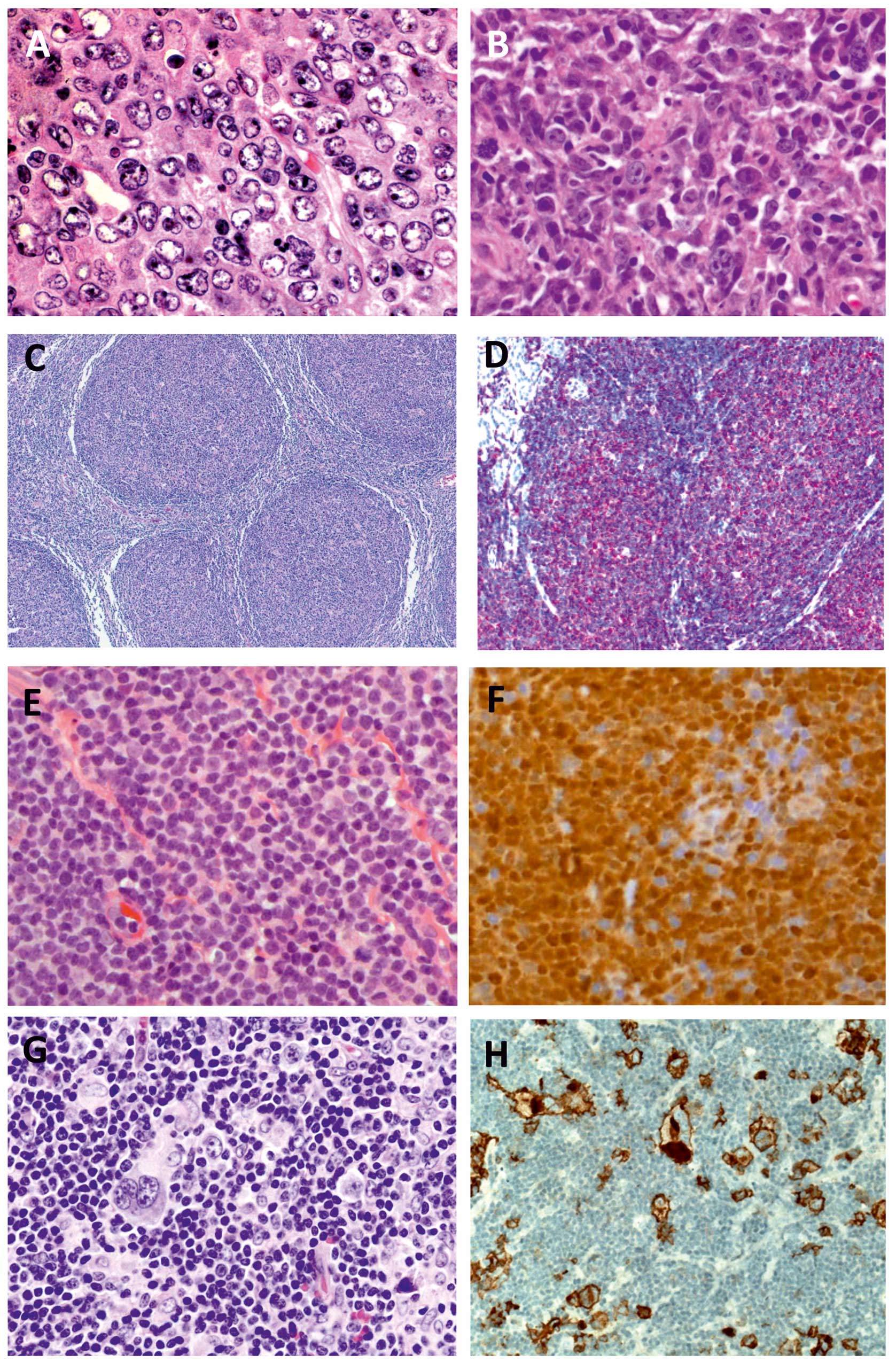
Nodal Aggressive B Cell Lymphomas A Diagnostic Approach Journal
jcp.bmj.com

Diffuse Large B Cell Lymphoma Karyopharm Therapeutics
www.karyopharm.com

Lymphoma B Cells Evade Apoptosis Through The Tnf Family Members
www.jimmunol.org

Demystifying The Diagnosis And Classification Of Lymphoma A Guide
www.mdedge.com

Updates On Lymphoma And Myeloid Malignancies From The 2018 Summer
www.medscape.org

Diffuse Large B Cell Lymphoma Everything You Need To Know Youtube
www.youtube.com

Monjuvi Precision Cancer Medicine For Treatment Of B Cell Nhl
news.cancerconnect.com

The Genetic Landscape Of Diffuse Large B Cell Lymphoma Sciencedirect
www.sciencedirect.com

Lymphoma Action Diffuse Large B Cell Lymphoma
lymphoma-action.org.uk

Composite Lymphoma An Overview Sciencedirect Topics
www.sciencedirect.com

B Cell Non Hodgkin S Lymphoma Diagnosed Incident Cases Set To
www.globaldata.com

Diffuse Large B Cell Lymphoma Dlbcl Flow Cytometry
wiki.clinicalflow.com

Cancers Free Full Text Emerging Role Of Podocalyxin In The
www.mdpi.com

Diffuse Large B Cell Lymphoma Causes Symptoms Massive Bio
massivebio.com

Next Generation Sequencing And The Management Of Diffuse Large B
www.discoverymedicine.com

A Probabilistic Classification Tool For Genetic Subtypes Of
www.sciencedirect.com

Tumor Characteristics Of The Patients With Mature B Cell Non
www.researchgate.net

Diffuse Large B Cell Lymphoma Review Singh R Dubey A P Rathore A
www.jmedscindmc.com

Non Hodgkin Lymphoma Ask Hematologist Understand Hematology
askhematologist.com

Diffuse Large B Cell Lymphoma Current Standards Of Care And
slideplayer.com

Histopathology Images Of Diffuse Large B Cell Lymphoma Nos By
www.pathpedia.com

B Cell Lymphoma
www.slideshare.net

Histopathology Images Of Diffuse Large B Cell Lymphoma Nos By
www.pathpedia.com

B Cell Lymphoma Wikipedia
en.wikipedia.org

Frontiers Targeting The Bcl 2 Family In B Cell Lymphoma Oncology
www.frontiersin.org

Demystifying The Diagnosis And Classification Of Lymphoma A Guide
www.mdedge.com

Novel Drug Targets For Personalized Precision Medicine In Relapsed
molecular-cancer.biomedcentral.com

Circulating Tumour Dna And Ct Monitoring In Patients With
www.thelancet.com

Membrane Bound Tgf B Expression In B Cell Nhl A Representative
www.researchgate.net

Motility And Trafficking In B Cell Non Hodgkin S Lymphoma Review
www.spandidos-publications.com

Diffuse Large B Cell Lymphoma Novartis
www.novartis.com

B Cell Lymphoma Wikipedia
en.wikipedia.org

Subcutaneous T Cell Lymphoma Wikipedia
en.wikipedia.org

Mantle Cell Lymphoma Mcl Causes Symptoms Treatment And More
www.webmd.com

Marginal Zone B Cell Lymphoma Wikipedia
en.wikipedia.org

Https Encrypted Tbn0 Gstatic Com Images Q Tbn 3aand9gctwkx36fvcdfn45eqmcjigbdls4hct6zqxisu Ozyoev4igoguu Usqp Cau
encrypted-tbn0.gstatic.com

Diffuse Large B Cell Lymphoma Dlbcl Is The Most Common Nhl
www.pinterest.com

Mantle Cell Lymphoma Mcl Is Generally Considered An Aggressive
www.pinterest.com

Nhl Diffuse Large B Cell Lymphoma Report Store Pharma
pharmastore.informa.com

Aggressive B Cell Lymphomas From Morphology To Molecular
aol.amegroups.com

Rituxan Rituximab Dosing Regimens For Nhl And Cll Hcp
www.rituxan.com

Pathology Outlines T Cell Histiocyte Rich
www.pathologyoutlines.com

The Tumour Microenvironment In B Cell Lymphomas Nature Reviews
www.nature.com

Primary Mediastinal B Cell Lymphoma Wikipedia
en.wikipedia.org

Microrna Signatures In B Cell Lymphomas Blood Cancer Journal
www.nature.com

Non Hodgkin Lymphoma
www.slideshare.net

Diffuse Large B Cell Lymphoma Novartis
www.novartis.com

Rituxan Rituximab For Non Hodgkin S Lymphoma
www.rituxan.com

Lymphoma B Cells Evade Apoptosis Through The Tnf Family Members
www.jimmunol.org

Prognostic Values Of Cgh Aberrations In B Cell Nhl Based On Data
www.researchgate.net

Swiss Medical Weekly New Treatment For Non Hodgkin B Cell
smw.ch

Pdf B Cell Lymphoma
www.researchgate.net

Primary Extranodal B Cell Lymphoma Current Concepts And Treatment
cco.amegroups.com

Nodal Aggressive B Cell Lymphomas A Diagnostic Approach Journal
jcp.bmj.com

Aggressive B Cell Lymphomas From Morphology To Molecular
aol.amegroups.com

Aggressive B Cell Lymphomas From Morphology To Molecular
aol.amegroups.com

Cutaneous B Cell Lymphoma Overview Pathophysiology Epidemiology
emedicine.medscape.com

Follicular B Cell Lymphoma
www.lymphomation.org

close