NHL

Diffuse B Cell Nhl


Webpathology Com A Collection Of Surgical Pathology Images
www.webpathology.com

B Cell Lymphoma Wikipedia
en.wikipedia.org

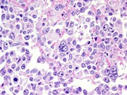
Diffuse Large B Cell Lymphoma Bone Marrow Aspirate 4
imagebank.hematology.org

Primary Mediastinal B Cell Lymphoma Wikipedia
en.wikipedia.org

Diffuse Large B Cell Lymphoma Bone Marrow Aspirate 1
imagebank.hematology.org

Diffuse Large B Cell Lymphoma Karyopharm Therapeutics
www.karyopharm.com

Diffuse large b cell lymphoma dlbcl tends to grow quickly.

Diffuse b cell nhl. Indolent lymphomas are slow moving and tend to grow more slowly and have fewer signs and symptoms when first diagnosed. Burkitt lymphoma may spread to the central nervous system cns. Burkitt lymphoma is a rare but highly aggressive fast growing b cell non hodgkin lymphoma nhl.

Dlbcl can arise in virtually any part of the body and. Diffuse large bcell lymphoma dlbcl is the most common type of nonhodgkin lymphoma nhl in the united states representing approximately 24 of new cases of nhl each year. Diffuse large b cell lymphoma is a cancer of b cells a type of lymphocyte that is responsible for producing antibodies.

The most common type of nhl is diffuse large b cell lymphoma not otherwise specified dlbcl nos accounting for 30 of all nhl cases. Dlbcl is an aggressive fast growing nhl that affects b lymphocytes. Diffuse large b cell lymphoma is a non hodgkins lymphoma nhl.

Dlbcl can affect people of any age but it occurs mostly in older people. More than 18000 people are diagnosed with dlbcl each year. Slow growing or indolent subtypes represent about 40 percent of all nhl cases.

This regimen known as r chop is most often given in cycles 3 weeks apart. 1 2 the disease is aggressive and patients typically present with rapidly enlarging lymphadenopathy and constitutional symptoms necessitating immediate treatment. Non hodgkin lymphoma nhl is one of the most frequently diagnosed cancer types representing approximately 4 of cancers worldwide.

Out of over 60 types of nhls diffuse large b cell lymphoma is the most common. Diffuse large b cell lymphoma dlbcl is the most common type of non hodgkin lymphoma nhl in the united states and worldwide accounting for about 22 percent of newly diagnosed cases of b cell nhl in the united states. It is the most common form of non hodgkin lymphoma among adults with an annual incidence of 78 cases per 100000 people per year in the us and uk.

The lymphoma cells look fairly large when seen with a microscope. Follicular lymphoma fl is the most common subtype of indolent nhl. Diffuse large b cell lymphoma dlbcl is the most common aggressive nhl subtype.

Dlbcl is the most aggressive or fast growing form of. Diffuse large b cell lymphoma dlbcl this is the most common type of nhl in the united states accounting for about 1 out of every 3 lymphomas.

Diffuse Large B Cell Lymphoma Review Singh R Dubey A P Rathore A
www.jmedscindmc.com

Diffuse Large B Cell Lymphoma The Blood Unit
thebloodunit.com.au

The Histological Classification Of Diffuse Large B Cell Lymphomas
www.sciencedirect.com

How Is Diffuse Large B Cell Lymphoma Treated Mediglobus
mediglobus.com

Aggressive B Cell Lymphomas From Morphology To Molecular
aol.amegroups.com

B Cell Lymphoma Wikipedia
en.wikipedia.org

Aggressive B Cell Lymphomas Oncohema Key
oncohemakey.com

Diffuse Large B Cell Lymphoma Dlbcl Genomic Testing Cooperative
genomictestingcooperative.com

Pdf B Cell Lymphoma
www.researchgate.net

Composite Lymphoma With Coexistence Of Diffuse Large B Cell
www.ijpmonline.org

Histopathology Images Of Diffuse Large B Cell Lymphoma Dlbcl By
www.pathpedia.com

Diffuse Large B Cell Lymphoma Symptoms Rituxan Hycela
www.rituxanhycela.com

Which Histologic Findings Are Characteristic Of Primary Cutaneous
www.medscape.com

Non Hodgkin Lymphoma
www.slideshare.net

Targeted Treatments Take Aim At Diffuse Large B Cell Lymphoma
consultqd.clevelandclinic.org

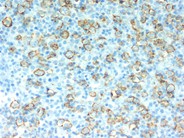
A New Immunostain Algorithm Classifies Diffuse Large B Cell
clincancerres.aacrjournals.org

Large Cell Lymphoma Wikipedia
en.wikipedia.org

Primary Diffuse Large B Cell Lymphoma Of The Prostate In A Young
www.scielo.br

Diffuse Large B Cell Lymphoma Wikipedia
en.wikipedia.org

Https Encrypted Tbn0 Gstatic Com Images Q Tbn 3aand9gcqo2xrzjl Wvoewe 3pwlqpz Dp7ctf5lmxo4qf9hwnydc7tdch Usqp Cau
encrypted-tbn0.gstatic.com

Cureus Primary Diffuse Large B Cell Lymphoma Of The Sigmoid Colon
www.cureus.com

Diffuse Large B Cell Lymphoma Causes Symptoms Massive Bio
massivebio.com

Diffuse Large B Cell Lymphoma Youtube
www.youtube.com

Diffuse Large B Cell Lymphoma Nos Immunoblastic Basicmedical Key
basicmedicalkey.com

Pdf Diffuse Large B Cell Lymphoma Of The Nasopharynx Semantic
www.semanticscholar.org

Diffuse Large B Cell Lymphoma Youtube
www.youtube.com

Morphological Criteria For Diffuse Large B Cell Lymphoma With A
www.researchgate.net

Pdf Intestinal Diffuse Large B Cell Lymphoma An Evaluation Of
www.semanticscholar.org

Monoclonal Gammopathy Type Associated With Prognosis In Patients
www.oncologynurseadvisor.com

Diffuse Large B Cell Lymphoma Dlbcl Flow Cytometry
wiki.clinicalflow.com

Primary Gastric Diffuse Large B Cell Lymphoma With Malt Component
www.researchgate.net

Diffuse Large B Cell Lymphoma Anaplastic Variant 3
imagebank.hematology.org

Https Encrypted Tbn0 Gstatic Com Images Q Tbn 3aand9gcsv0w Oho6ip7h 4rinc4x9z9uqir2vhxohitxi0jv Fpax1gas Usqp Cau
encrypted-tbn0.gstatic.com

Table 3 From Treatment Of Advanced Stage Diffuse Large B Cell
www.semanticscholar.org

Histopathology Images Of Diffuse Large B Cell Lymphoma Nos By
www.pathpedia.com

R Chop Every 21 Days For Diffuse Large B Cell Lymphoma Still The
www.oncology-central.com

Pathology Outlines Dlbcl Nos
www.pathologyoutlines.com

Characteristics Of Diffuse Large B Cell Lymphoma Patients
www.researchgate.net

Histopathology Images Of Diffuse Large B Cell Lymphoma Nos By
www.pathpedia.com

Cureus Primary Gastrointestinal Diffuse Large B Cell Lymphoma
www.cureus.com

Aggressive B Cell Lymphomas From Morphology To Molecular
aol.amegroups.com

Malignant Lymphoproliferative Disorders Of The Lung Low Grade B
www.pulmonologyadvisor.com

The Clinical Presentation And Prognosis Of Diffuse Large B Cell
www.haematologica.org

Diffuse Large B Cell Lymphoma Light Micrograph Stock Image
www.sciencephoto.com

Increased Myc Copy Number Is An Independent Prognostic Factor In
www.nature.com

Diffuse Large B Cell Non Hodgkin Lymphomas Treatment Paradigms
www.medicographia.com

C Myc And Bcl2 Translocation Frequency In Diffuse Large B Cell
www.ijpmonline.org

File Diffuse Large B Cell Lymphoma Of The Small Intestine Very
commons.wikimedia.org

Https Encrypted Tbn0 Gstatic Com Images Q Tbn 3aand9gcqenw 4i1kcmuehadiq8qxnhuwcj4hommwbq9yv W1hzqqtsykx Usqp Cau
encrypted-tbn0.gstatic.com

Primary Gastric Diffuse Large B Cell Lymphoma Infiltrated With
www.researchgate.net

Pathology Outlines With Myc And Bcl2 Or Bcl6 Rearrangements
www.pathologyoutlines.com

Webpathology Com A Collection Of Surgical Pathology Images
www.webpathology.com

Aggressive B Cell Lymphomas How Many Categories Do We Need
www.nature.com

Non Hodgkin Lymphoma Ask Hematologist Understand Hematology
askhematologist.com

Anaplastic Lymphoma Kinase Positive Large B Cell Lymphoma Clinico
journals.plos.org

Dlbcl
www.slideshare.net

Diffuse Large B Cell Lymphoma Dlbcl Aggressive B Cell Non
m.youtube.com

Lymphoma Action Diffuse Large B Cell Lymphoma
lymphoma-action.org.uk

Diffuse Large B Cell Lymphoma Dlbcl Flow Cytometry
wiki.clinicalflow.com

Content On Diffuse Large B Cell Lymphoma Dlbcl
www.webmd.com

Aggressive B Cell Lymphomas From Morphology To Molecular
aol.amegroups.com

The Distinction Between Burkitt Lymphoma And Diffuse Large B Cell
www.nature.com

Pathology Outlines Dlbcl Nos
www.pathologyoutlines.com

Primary Hepatosplenic Cd5 Positive Diffuse Large B Cell Lymphoma
www.researchgate.net

Histopathology Images Of Diffuse Large B Cell Lymphoma Nos By
www.pathpedia.com

Diffuse Large B Cell Lymphoma T Cell Histiocyte Rich Variant
imagebank.hematology.org

B Cell Lymphoma Unclassifiable With Features Intermediate
atlasgeneticsoncology.org

Diffuse Large B Cell Lymphoma Light Micrograph Stock Image
www.sciencephoto.com

Selinexor In Patients With Relapsed Or Refractory Diffuse Large B
www.thelancet.com

Dictionary Pathology Lymphoma The Human Protein Atlas
www.proteinatlas.org

Lymphoma Treatment Car T Therapies Commercial Potential
www.pharmaceutical-technology.com

Targeting Diffuse Large B Cell Lymphoma
www.pathologyinpractice.com

Factors Related To The Relative Survival Of Patients With Diffuse
www.haematologica.org

Overall Survival Os In All 75 Patients With Diffuse Large B Cell
www.researchgate.net

Nhl Diffuse Large B Cell Lymphoma Report Store Pharma
pharmastore.informa.com

Primary Diffuse Large B Cell Lymphoma Of The Uterus A Case Report
www.oatext.com

Stat3 Mutations Are Present In Aggressive B Cell Lymphomas
doi.org

T Cell Histiocyte Rich Large B Cell Lymphoma
atlasgeneticsoncology.org

Diffuse Large B Cell Lymphoma Current Standards Of Care And
slideplayer.com

Promising Personalized Therapeutic Options For Diffuse Large B
clincancerres.aacrjournals.org

Diffuse Large B Cell Lymphoma Review Singh R Dubey A P Rathore A
www.jmedscindmc.com

Diffuse Large B Cell Lymphoma Of The Gingiva Mistaken For
www.oatext.com

Diffuse Large B Cell Lymphoma Dlbcl Is The Most Common Nhl
www.pinterest.com

Motility And Trafficking In B Cell Non Hodgkin S Lymphoma Review
www.spandidos-publications.com

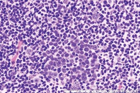
File Diffuse Large B Cell Lymphoma Dlbcl High Mag Jpg
commons.wikimedia.org

Axicabtagene Ciloleucel Yescarta Gene Therapy For Diffuse Large
thasso.com

Hiv Associated Lymphomas A Clinicopathological Study From India
www.ccij-online.org

Diffuse Large B Cell Lymphoma Market Trends And Opportunities
www.hhmglobal.com

Case Of Primary Bilateral Diffuse Large B Cell Lymphoma Of The
casereports.bmj.com

Histopathology Images Of Lymphoma Diffuse Large B Cell De Novo
www.pathpedia.com

Https Encrypted Tbn0 Gstatic Com Images Q Tbn 3aand9gcsj8ethqx0s1x4hhaeo714onu0oyz8nvnnk41qqxp5kspn1ryyd Usqp Cau
encrypted-tbn0.gstatic.com

Circulating Tumour Dna And Ct Monitoring In Patients With
www.thelancet.com

Additions To R Chop In Patients With Diffuse Or Aggressive Large B
consultqd.clevelandclinic.org

Diffuse Large B Cell Lymphoma Dlbcl Leukemia And Lymphoma Society
www.lls.org

Diffuse Large B Cell Lymphoma Review Singh R Dubey A P Rathore A
www.jmedscindmc.com

Intravascular Large B Cell Lymphoma Arkana Laboratories
www.arkanalabs.com

Aggressive B Cell Lymphomas From Morphology To Molecular
aol.amegroups.com

Aggressive Lymphoma Wikipedia
en.wikipedia.org

close